- /* onclick=»openPopup(‘bigPhoto’,1, »);return false;» */?>
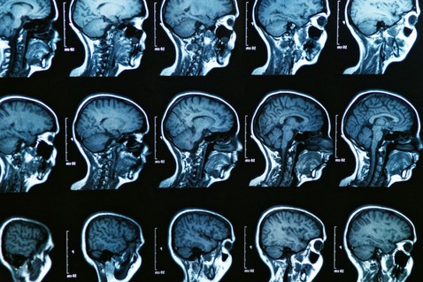
Магнитно-резонансная томография головного мозга (МРТ) — один из способов определения изменений в головном мозге, которые характерны для болезни Альцгеймера.
Кроме данных осмотра, проводится ряд рутинных лабораторных анализов для исключения других недугов, при которых также возможны нарушения памяти и интеллекта. Так, изучается анализ крови для исключения анемии, болезней печени, щитовидной железы, поздних стадий сифилиса. Может понадобиться консультация врача-психиатра для исключения депрессии, которая из-за подавленного состояния больного нередко влечет за собой расстройства памяти и интеллекта, что, конечно же, на самом деле не так.
В некоторых случаях врач назначает магнитно-резонансную томографию головного мозга (МРТ) — это в первую очередь нужно для того, чтобы проверить, не является ли деменция (или приобретенное слабоумие) следствием инсульта, поражения сосудов и гидроцефалии. Кроме того, при МРТ оценивается состояние нервных волокон и развитие атрофии особого отдела головного мозга — гиппокампа (он является у человека центром памяти и эмоций).
В США используется генетическое типирование на предмет наличия гена АРОЕ. Однако обнаружение этого гена (ген предрасположенности к заболеванию, а не 100% вероятности его развития) даже у пациентов без признаков болезни нередко вызывает подавленное состояние, депрессивность и чрезмерное внимание к своему состоянию с целью поиска симптомов нередко на пустом месте.
И тем не менее генетические тесты на болезнь Альцгеймера все же оправданы в случаях семейных и ранних форм заболевания, когда начало болезни приходится на 65 лет и раньше. Генетический тест на заболевание имеет смысл провести, если имеются указания на случаи слабоумия в семье (особенно на протяжении нескольких поколений, с ранним началом появления первых симптомов) или наличием патологических мутантных генов у близких родственников. Стоит предупредить, что процесс это трудоемкий и весьма дорогой, поэтому перед его проведением необходимо проконсультироваться с генетиком — он поможет определиться с целесообразностью теста. Это нужно и для того, чтобы раньше времени не пугать ни пациента, ни его родственников.






