Клетки людей, переживших рак, помогут другим больным
Британские ученые в настоящее время разрабатывают новый метод иммунной терапии с использованием нейтрофилов (клеток крови, относящихся к лейкоцитам) пациентов, победивших рак. Метод может спасти жизнь многим людям. Эксперименты с клетками и мышами прошли успешно, передает Business Standard. Нейтрофилы уничтожают раковые клетки самостоятельно либо с помощью других клеток. Исследователям удалось найти способ извлечь нейтрофилы, успешно борющиеся…
И сбоку бантик: мужа Киры Найтли уже принимают за ее… сестру
Исследователи не рекомендуют отвозить детей в школу на машине
Профессор Саутгемптонского университета Стивен Холгейт говорит, что в машине в районе заднего сиденья уровень воздействия токсичных соединений может быть в три раза выше, чем на улице. Кроме того, дети, которых возят на машине, лишаются возможности пообщаться с другими детьми по пути в школу и рискуют стать тучными, пишет The Daily Mail. Специалист подчеркивает: нет безопасного…
Вред курения официально признают производители сигарет
Производителей табачной продукции заставили официально признать вред сигарет Как передает «Коммерсант.RU», табачным компаниям в США пришлось выполнить решение суда 2006 года. Их обязали в СМИ рассказать о вреде курения, причем, на правах рекламы и за свои собственные средства. Под санкции попали четыре крупных компании — Altria, Philip Morris USA, R. J. Reynolds Tobacco и Lorillard.…
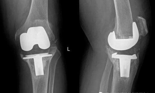
Китайцы напечатали на принтере новый сустав из редкого материала
Впервые в мире китайские ученые использовали технологию трехмерной печати костной ткани для восстановления коленного сустава, передает «Вести.RU». Известно, что сустав, пораженный артритом, меняли 84-летнему пациенту. И в ходе работы применялся редкий металл тантал. При сильных патологических изменениях замена сустава считается наиболее оптимальным вариантом. Однако стандартные протезы приходится подгонять под каждого пациента, что связано с определенными…
Самые пьющие регионы России — итоги 2017 года
Эксперты выяснили, какие регионы РФ больше всего пили в этом году Федеральный проект «Трезвая Россия» опубликовал результаты исследования за 2017 год. Как и в прошлом году, самыми непьющими регионами в стране оказались Чечня, Ингушетия и Дагестан, передает «Российская газета». Плюс, в ТОП-10 самых непьющих регионов попали Карачаево-Черкесия, Кабардино-Балкария, Белгородская, Ростовская, Астраханская и Волгоградская области, а…
Регина Тодоренко покинула проект «Орел и решка»
Популярная певица и телеведущая Регина Тодоренко рассказала в своем Инстаграме об уходе из проекта «Орел и решка».
[…]
Роботы-водоросли займутся исследованием и лечением людей
Постановка диагноза и лечение аномалий, локализующихся в труднодоступных местах, — непростая задача. Но на помощь врачам уже в ближайшее время могут прийти роботы, чей размер не превышает клетку крови, передает Zee News. Это новая разработка Китайского университета Гонконга. Роботы управляются дистанционно с высокой точностью. Они представляют собой микроскопические водоросли, покрытые магнитными наночастицами. Понять, где располагаются…
Чеснок и антибиотики
Соединение из чеснока делает антибиотики в разы эффективнее Чеснок — старинное народное средство, применяемое во время простудных заболеваний. И недавно ученые сделали вывод: чеснок реально поможет победить устойчивые бактерии, вызывающие больничные инфекции. Как передает The Daily Mail, в центре внимания — соединение аджоен, разрушающее структуру колоний резистентных бактерий и позволяющее антибиотикам снова обрести силу. Соединение…









